概述
X-连锁肾上腺脑白质营养不良(X-ALD) :严重进展型, 常累及青春期前男性
除了儿童型大脑X-ALD(CCALD) 外, 至少还有6种变异型:症状前的X-ALD、青春期型(AdolC ALD) 、成人型(ACALD) 、肾上腺脊髓神经病(AMN)、仅表现Addison病、有症状的女性携带者
过氧化酶体代谢性遗传病→极长链脂肪酸β氧化受损
影像
CCALD:伴强化的(CT或MR) 侧脑室三角区周围脱髓鞘
经典的CCALD:侧脑室三角区周围白质;病变模式:胼胝体压部→侧脑室三角区周围基白质→皮质脊髓束/穹隆/连合纤维/视觉和听觉通路;通常皮质下U形纤维保留
常见双侧对称性、融合性大脑后部受累;罕见前部受累(约10%)
常见中央(胼胝体压部)相对于外周的病变变化梯度
T2WI:受累白质T2信号增高
DWI:受累白质弥散受限
DTI:大脑的“连接”减少,在明显的白质病变部位和症状发生前的白质,各向同性的扩散增加和各向异性缺失
T1WI C+:病变的前缘(病变的中间区)强化,显著强化病变进展相关
病理
临床异质性归因于特异性的突变、修饰基因
表型各异:C CALD、AMN→即使是同一家族, 症状发生前的表现各异
临床要点
在症状发生前的ALD中, Lorenzo油延缓症状发生
X-ALD和变异型:北美新生儿发生率为1:16800
诊断纲要
X-ALD发生在不典型的年龄→不典型的表现(无强化,可能会有大脑前部受累而不是后部)
未确诊的脑白质营养不良一定有强化

(左)轴位绘图显示多发层状脱髓鞘,分层与3个组织病理学上的分区相对应。外层(弯箭)由活动性病变组成,中间层(空箭)是活动性炎症。注意到中心区(直箭)彻底毁损。
(右) 一位典型的CCALD的青春前期的男孩,轴位T1WI MR显示围绕严重破坏的顶叶白质(弯箭)和胼胝体压部(空箭)的边缘存在显著强化。

(左) 一位大脑完全受累的青春前期的男孩,轴位T2WI MR可分辨外层的活动性炎症(白箭)和最内层白质破坏的“彻底毁损”区(黑箭)。
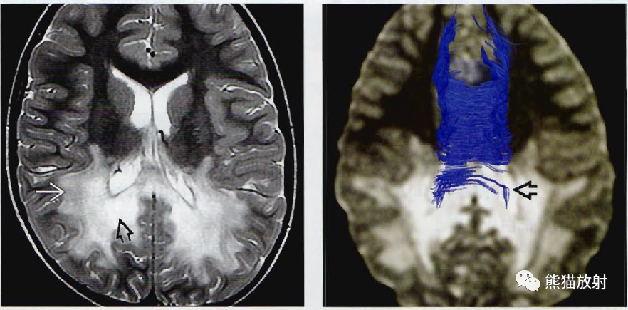
(右) 另一位患CCALD的有临床症状的青春前期男孩,DTI序列的胼胝体轴位纤维束成像显示穿经胼胝体压部(箭)和胼胝体辐射线枕部的白质纤维束明显缺失。

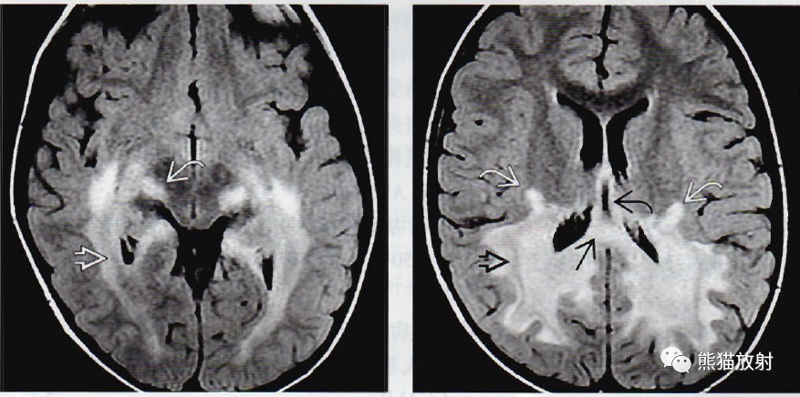
(左) CCALD患者(ALD1型) ,轴位FLAIR MR显示内侧膝状体(弯箭)、颞枕叶的脑室周围和深部白质(空箭)呈高信号;
(右)同一位CCALD患儿,轴位FLAIR MR显示呈高信号的穹隆后柱(黑弯箭)、胼胝体压部(黑直箭)、多分层受累的三角区周围白质(黑空箭)和外囊/最外囊(白弯箭)。

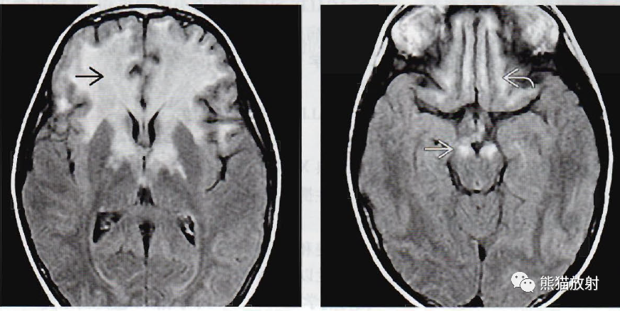
(左) 轴位FLAIR显示融合性双侧白质高信号。这位已经证实为X-ALD的学龄期男性病例(Loes 2型) ,为大脑前部受累的变异型,异常信号延伸入尾状核头、苍白球和内囊前肢。
(右)同一位患者,轴位FLAIR显示内囊的对称白质高信号延伸入大脑脚(直箭)和额叶皮质下白质(弯箭)。